- TOP
- 検査の種類
健康診断・人間ドック
検査の種類
一般ドックや健康診断では発見されにくい、自覚症状のない心臓肥大・拡大・無症状の心筋虚血・狭心症・心筋梗塞もあります。これらの発見にも努めています。自覚症状のある方は、もちろん、ない方でも一度ご相談下さい。
心臓病の危険因子であり、生活習慣病でもある「肥満・高血圧・糖尿病・高脂血症」の予防や治療もあわせてご指導させて頂いています。
|
| ・ |
心臓弁膜症や心肥大・心筋症、先天性心疾患などを診断するのに最も有効な検査です。 |
| ・ |
心筋梗塞や心筋梗塞に至る前の狭心症の診断にも効力を発揮します。 |
| ・ |
X線被ばくがないので繰り返し検査可能で、心臓機能の評価が非常に簡単にできます。
狭心症を検出する運動負荷試験や不整脈を検出するホルタ―心電図とともに心臓疾患のスクリーニング検査に欠かせない検査です。 |
| ・ |
狭心症を検出する運動負荷試験や不整脈を検出するホルタ―心電図とともに心臓疾患のスクリーニング検査に欠かせない検査です。 |
| ・ |
循環器ドックに含まれます。オプションで追加したい方はこちら |
|

検査結果 |
|
| ・ |
超音波で首の動脈(血管)をみる検査です。動脈硬化によって血管の壁が厚くなっていないか、血液の流れが悪くなっていないかなどを調べます。 |
| ・ |
もし頸動脈の動脈硬化が進んでいると、全身の動脈硬化も進んでいると予測されるので、脳梗塞や心筋梗塞などへの進展の予測になるとも考えられています。 |
| ・ |
血圧脈波検査(baPWV/ABI)や血管内皮機能検査(FMD)と合わせて検査されることをお勧めします。 |
| ・ |
動脈硬化ドックには含まれております。オプションで追加したい方はこちら |
| ・ |
さらに詳しくはメディカル通信「頚動脈エコー検査 その1」
|
|

検査結果 |
|
| ・ |
この検査は、わずかな時間(5分程度)で腕と足の血圧や脈を測定します。 |
| ・ |
上下肢の血圧と脈の伝わり方から血管の固さや詰まりぐあいを調べる検査です。 |
| ・ |
定期的に測定し、動脈硬化の状態の経過をみていくことが大切ですので、健診を受けられる全ての方にお勧めしたい検査です。 |
| ・ |
また、脳血管疾患や心疾患は、動脈硬化が大きな原因ですので、肥満の方や喫煙をされる方、高血圧や糖尿病、脂質異常症などの生活習慣病の指摘のある方には特にお勧めします。 |
| ・ |
さらに詳しくはメディカル通信「血圧脈波検査 その1」
|
| ・ |
二日ドックには含まれております。オプションで追加したい方はこちら |
|

検査結果 |
|
| ・ |
運動しながら心電図を記録します。その間にどんな症状が起こるか、心電図や血圧にどんな変化が起こるかをみる検査です。心臓に負荷を加えることで、安静時には発見しにくい狭心症や不整脈を調べる検査です。 |
|

検査結果 |
|
| ・ |
小型のモニターを携帯して、日常生活中や睡眠中の心電図を長時間記録します。通常の心電図検査では数十秒しか記録しないので、症状が出たときの心電図を記録できるとは限りません。 |
| ・ |
この検査は日中活動時に起こりやすい狭心症発作や、比較的安静時に出やすい不整脈など、症状があるときの心電図を記録できる可能性は高くなります。狭心症や不整脈の有無を調べる検査です。 |
|
|
|
| ・ |
AGEsとは身体のこげつき反応(糖化)によって形成され、蓄積すると、糖尿病をはじめとする生活習慣病や、老化・動脈硬化など加齢と関係する様々な疾患の原因になるとされています。 |
| ・ |
検査は計測機器に腕を乗せるだけで測定でき、所要時間は1分程度です。 |
| ・ |
酸化ストレス検査(dROM,BAP)や動脈硬化関連検査(PWV/ABIやFMD検査)を一緒に受けられることをお勧めします。
 |
|
|
消化器系検査
|
| ・ |
オリンパスの電子内視鏡を使用しています。 |
| ・ |
安心・安全な内視鏡検査を提供しています。 |
| ・ |
食道・胃・十二指腸・大腸のいろいろな病気の診断、ガンの早期発見に心がけています。 |
| ・ |
最近話題のヘリコバクターピロリー菌についても、詳しく説明しています。 |
| ・ |
検査の結果は、大きなモニターの画像とパンフレットを使って、出来るだけ詳しく説明させていただきます。 |
| ・ |
さらに詳しくはメディカル通信「ヘリコバクターピロリ感染性胃炎」、メディカル通信「内視鏡室リニューアル」 |
|

検査結果 |
|
| ・ |
バリウムと胃を膨らませる発泡剤を服用してもらいます。 |
| ・ |
胃壁にバリウムが付着し、空気で膨らんだ状態で様々な角度から撮影します。 |
| ・ |
潰瘍、ポリープ、がんなどの病変を発見することができます。 |
| ・ |
さらに詳しくはメディカル通信「放射線装置のご紹介」
|
|

検査結果 |
|
| ・ |
超音波で上腹部(肝臓,胆嚢・胆管,膵臓,脾臓,腎臓)を観察し、腫瘤や結石,ポリープなどの病変がないかどうかを調べる非常に基本的で大切な検査です。 |
| ・ |
そのため通常の人間ドックには基本検査項目として組み込れていますが、会社等の健診で項目に入っていない方にお勧めします。 |
| ・ |
検査をしながらモニターテレビで見ることができます。 |
| ・ |
胆石、脂肪肝は、一目でおわかりいただけます。 |
| ・ |
オプションで追加したい方はこちら |
|

検査結果 |
|
| ・ |
体の回りからX線をあてることで輪切りの画像を得ることができます。 |
・ |
検査可能な臓器は主に肝臓、胆嚢、膵臓、腎臓、脾臓です。それ以外にも副腎、大血管、腹腔内リンパ節、腸間膜にある病変等の観察が可能です。 |
| ・ |
CTは腸内ガスや脂肪のためにエコーでは見えにくい深部臓器の描出が可能です。 |
|

検査結果 |
頭部・胸部系の検査
ヘリカルCT検査
|
| ・ |
腹部:肝臓・胆嚢・膵臓・腎臓などの病気を診断します。 |
| ・ |
頭部:脳出血・脳梗塞などを診断します。
MRIと比較すると検査時間も短く、騒音も少なく、体内に金属が入っている方、閉所恐怖症の方でも簡単に検査を受けることができます。 |
| ・ |
胸部:肺全体を一度に撮影し、小さな変化、臓器の裏側の病変も断層画像として表します。
喫煙指数(1日喫煙本数×喫煙年数)が600以上の方は一度、肺がん・肺気腫などのチェックをお薦めします。 |
| ・ |
さらに詳しくはメディカル通信「胸部CT」「低線量肺がんCT健診について」 |
|
脳CT検査結果
肺CT検査結果
|
|
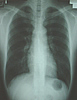
| ・ |
肺に異常な影があるか、心臓の形や大きさに異常があるかを調べます。 |
| ・ |
肺結核、肺炎、肺癌、肺膿傷、肺気腫、気管支拡張症、心臓肥大などの病変の発見もできます。 |
|

検査結果 |
その他の検査
|
| ・ |
専用の装置とフィルムで撮影します。 |
| ・ |
小さな石灰化巣などを撮影し、乳がんの診断に触診と併用しています。 |
| ・ |
乳がん以外では乳腺線維線腫などの良性腫瘍、乳腺症などの病変を発見することができます。 |
| ・ |
乳がんになる人は30歳代後半から増加し、40歳代後半にピークとなり、70歳を過ぎてもそれほど減少はしません。 |
| ・ |
検査時に乳房の圧迫により多少の痛みが伴い、痛みの程度は個人差があります。 |
| ・ |
圧迫することで、より鮮明な画像を撮影することができます。 |
| ・ |
メディカル通信「マンモグラフィ検診施設画像認定を平成27年4月に取得しました」 |
|

検査結果 |
|
| ・ |
超音波で乳腺内の腫瘍の有無を調べる検査です。 |
| ・ |
マンモグラフィー検査と合わせて検査されることをお勧めします。 |
|
|
|
| ・ |
骨の中にあるカルシウム、マグネシウムなどのミネラル成分の量を測定します。ミネラル成分が不足してくると、骨がもろくなり骨折しやすくなります。当施設ではDXA法による骨密度測定検査を導入しています。DXA法は骨粗鬆症を含む骨密度低下による骨折のリスクの判定において信頼性の高い測定法として推奨されています。 |
| ・ |
前腕骨(橈骨)での測定は骨の変形や周辺組織の影響を受けにくいので、長期間の経過観察ができます。骨密度の低下が認められる場合にはさらに腰椎や大腿骨の検査も別途実施しています。 |
| ・ |
さらに詳しくはメディカル通信「婦人科 女性と骨粗鬆症」 |
|

検査結果 |
|
| ・ |
自然散瞳の状態で眼底撮影を行うため、散瞳剤の点眼は不要です。 |
| ・ |
目の病気、毛細血管を直接観察することによる糖尿病、高血圧、動脈硬化の把握ができます。 |
|

検査結果 |
|
| ・ |
眼にごく少量の空気を吹き付けて、眼の柔らかさ(眼圧)を測定します。 |
| ・ |
緑内障、網膜剥離、高眼圧症、虹彩毛様体炎などの病変を調べることができます。 |
|
|
|
| ・ |
健康志向の高まりで内臓脂肪型肥満対策が重要となっています。内臓脂肪測定にはさまざまな方法がありますが、CTを用いて臍位置の内臓脂肪面積を測定します。 |
| ・ |
内臓脂肪過多の状態は、高血圧、糖尿病、高脂血症、動脈硬化などの疾患の誘因になると言われています。さらにそれらの疾患がもとで心疾患(狭心症・心筋梗塞)や脳血管障害(脳梗塞)等の障害を起こすことになります。 |
| ・ |
男女ともに、内臓脂肪面積100?以上を内臓脂肪型肥満といいます。 |
| ・ |
さらに詳しくはメディカル通信「内臓脂肪測定 その1」「内臓脂肪測定 その2」 |
| ・ |
二日ドックには含まれております。オプションで追加したい方はこちら |
|

検査結果 |
|
| ・ |
この検査は、睡眠時無呼吸症候群(SAS)の有無や程度を簡略的に負担なくできるスクリーニング検査です。睡眠時無呼吸症候群(SAS)とは、睡眠中に呼吸が止まり、それによって日常生活に様々な障害を引きおこす疾患です。 |
| ・ |
また、肥満のある方には一度は受けていただきたい検査です。検査装置を貸し出しますので、一晩つけていただき、翌日に装置を提出していただきます。 |
| ・ |
大きなイビキをかく
日中いつも眠い
夜中に何度も目が覚める
起床時の頭痛やだるさがある
以上のような症状がある方は一度検査してみては? |
|
|